Vous n'êtes pas identifié.
Pages: 1
Réponse : 0 / Vues : 315
En Inde, des chercheurs ont publié une étude dans laquelle ils révèlent le cas très rare d'un jumeau parasite, également appelé “foetus in foetu”, découvert chez une patiente âgée de 17 ans.
Les médecins du All India Institute of Medical Sciences de Patna (AIIMS Patna) n'en reviennent toujours pas. Lorsqu'ils ont accueilli une adolescente âgée de 17 ans, qui se plaignait de douleurs abdominales l'empêchant de s'alimenter correctement, ils étaient loin d'imaginer qu'ils allaient se retrouver face à un cas médical extrêmement rare.
La patiente se plaignait notamment d'une grosseur abdominale douloureuse qui enflait progressivement depuis cinq ans. C'est alors que les médecins ont découvert que leur patiente était atteinte d'un “foetus in foetu” (FIF), autrement appelé “jumeau parasite”.
Le FIF est une anomalie du développement de l'embryon au cours de laquelle un foetus se trouve inclus à l'intérieur du corps de son jumeau.
Une première chez un adulte.
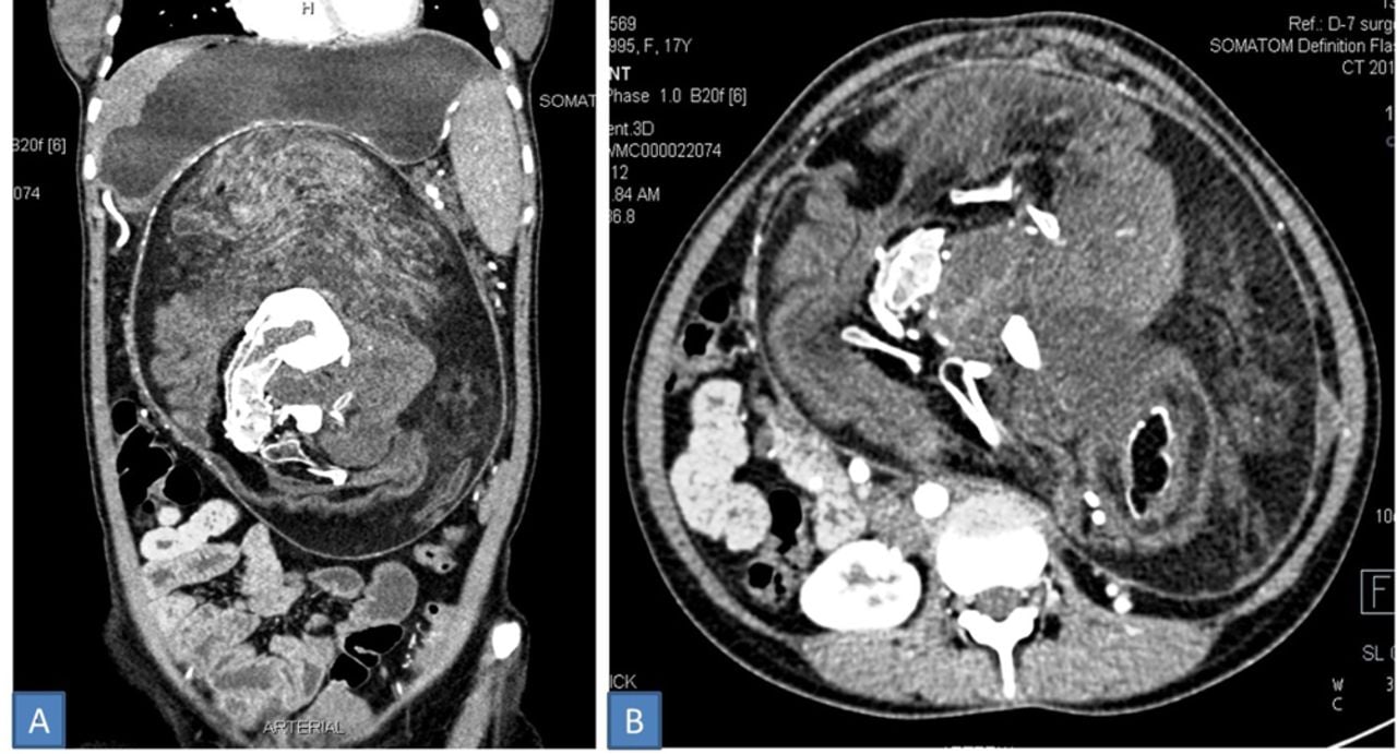
Dans cette situation, le foetus peut alors développer un tronc, des organes et même une colonne vertébrale. C'est grâce à un scanner que les médecins ont donc repéré une masse importante avec une structure complexe mêlant des graisses, des tissus mous et des calcifications. Il ont également détecté l'ébauche d'une colonne vertébrale et de côtes.
Au total, la masse mesurait 30 x 16 x 10 centimètres et pesait une quinzaine de kilos. Sur son enveloppe extérieure, elle était également dotée de poils, de dents et d'os, ainsi que des “bourgeons de membres” qui grandissaient en elle. Précisons que les médecins ont tout de même pensé à faire leur travail en retirant le "jumeau parasite".
Dans leur étude publiée dans la revue BMJ Case Reports, les médecins indiquent que c'est la première fois qu'un tel cas est identifié chez une personne adulte. Dans le monde, on estime qu'il existe un cas de “foetus in foetu” sur 500 000 naissances et 200 cas ont été répertoriés au total.



Réponse : 0 / Vues : 315
Pages: 1