Vous n'êtes pas identifié.
Pages: 1
Réponse : 0 / Vues : 2 525
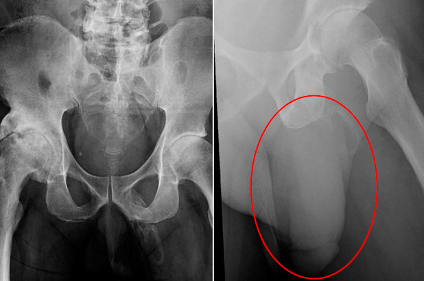
Parfois, un accident bénin peut vous sauver la vie. En effet, il n'est pas nécessaire de faire comme ce jeune inconscient pour rencontrer un problème avec son pénis ! Un homme de 63 ans s'est présenté aux urgences à la suite d'une chute sur les fesses. Ce dernier a développé une douleur au genou peu après la chute et s'est donc rendu à l'hôpital. C'est ce qu'affirment les médecins qui l'ont pris en charge dans la revue Urology Case Report. L'homme était loin de se douter de ce qu'ils allaient lui annoncer.
Un accident salvateur.
Pendant son examen, l'homme âgé de 63 ans a déclaré ressentir une douleur au niveau du pénis. Selon les médecins, sa prostate n'était pas enflée, et aucune sécrétion inhabituelle n'était à signaler. Ces derniers ont ensuite procédé à une radiographie de son bassin afin de s'assurer qu'il n'avait subi aucune fracture lors de la chute. A la place, ils ont découvert que le pénis du patient avait commencé à se transformer en os ! Les médecins ont décrit "une vaste calcification sous forme de plaque" au niveau de son organe génital.
La maladie de Lapeyronie.
L'ossification du pénis est une complication extrêmement rare de la maladie de Lapeyronie : en effet, seuls 40 cas ont été officiellement reportés d'après le rapport. Le problème intervient lorsque des sels de calcium (naturellement présents dans notre alimentation) s'accumulent dans les tissus mous du pénis, formant un os en dehors du squelette. D'ordinaire, cette maladie se définit comme "une déformation acquise du pénis provoquant une courbure pendant l'érection".
Ci-dessus, un schéma comparatif d'un pénis atteint de la maladie (à gauche) et d'un pénis "sain" (à droite). Tunica : corps spongieux. Corpora cavernosa : corps caverneux. Plaque : plaque fibreuse. La maladie de Lapeyronie est causée par l'accumulation de tissu cicatriciel dans le pénis, causant sa courbure.
Peu d'hommes concernés.
Selon le docteur Ludovic Ferretti dans un article du Journal des Femmes, membre du comité d'andrologie et médecine sexuelle de l'AFU (Association Française d'Urologie) - la maladie de Lapeyronie toucherait au maximum un homme sur 10.
On estime qu'elle touche entre 3 et 9% de la population masculine adulte, essentiellement entre 45 et 65 ans avec un pic observé à 53 ans.
Bien qu'informé de sa condition par les spécialistes, l'homme de 63 ans a finalement quitté l'hôpital sans poursuivre de soins et contre l'avis médical. L'histoire ne dit pas s'il est devenu l'homme au pénis de pierre.



Réponse : 0 / Vues : 2 525
Pages: 1