Vous n'êtes pas identifié.
Pages: 1
Réponse : 0 / Vues : 2 191
Nous nous sommes intéressés de plus près à une étude qui indique que 2 milliards de personnes ont, en ce moment-même, un parasite dans leur cerveau. Ces chiffres sont tout simplement bluffants, et proviennent pourtant d'une étude très sérieuse, et précédemment publiée dans la revue scientifique généraliste Nature.
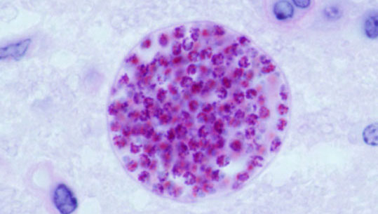
Le parasite qui toucherait environ 2 milliards de personnes à travers le monde.
Plus de deux milliards de personnes sont infectées par un parasite cérébral qui est propagé par des chats notamment, ou de la viande contaminée, mais la plupart de ceux qui sont hôtes de ce parasite ne présenteront jamais le moindre symptôme au cours de leur vie.
Le parasite en question est Toxoplasma gondii, que vous connaissez peut-être déjà de nom. Jusqu'à récemment, nous ignorions pourquoi tant de personnes étaient concernées par ce parasite, sans pour autant développer de symptômes. Une réponse a été apportée, et nous devons cette découverte à la faculté de médecine de l'Université de Virginie. Grâce à leurs recherches, l'équipe de scientifique pourrait, à l'avenir, comprendre un peu mieux les infections cérébrales, les maladies neurodégénératives, ainsi que les maladies auto-immunes.
Les chercheurs de l'Université de Virginie ont en effet découvert que le parasite connu sous le nom de Toxoplasma gondii est contrôlé par les microglies. Les microglies, aussi appelées "microgliocytes", ou encore "cellules de Hortega", sont une population de cellules macrophages que l'on retrouve dans le système nerveux central (cerveau, moelle épinière et rétine), et qui forment la principale défense immunitaire active grâce à ses capacités phagocytaires. Pour être plus clair, ce sont un peu les éboueurs de notre organisme, capables de manger ou détruire des microbes et des particules étrangères à l'organisme.
L'équipe de scientifiques qui a partagé le fruit de longues recherches au sein de la revue universitaire Nature a notamment compris que les microglies libéraient une molécule immunitaire unique en son genre. Cette molécule, connue sous le nom de IL-1a, va venir recruter toutes les cellules immunitaires présentes dans le sang pour contrôler ledit parasite. Le processus fonctionne si bien que très peu de personnes développent la toxoplasmose symptomatique, la maladie causée par le parasite Toxoplasma gondii.
Le fonctionnement des microglies.
Comprendre le rôle des microglies est absolument essentiel puisqu'il s'agit des cellules immunitaires présentes à l'intérieur du cerveau. La découverte effectuée par l'équipe de chercheurs de Virginie met le doigt sur la façon dont les microglies demandent de l'aide en cas de besoin, et cette découverte pourrait bien, à terme, permettre de trouver des solutions pour lutter plus efficacement contre les lésions cérébrales, les maladies neurodégénératives, les AVC, ou encore la sclérose en plaques.
Le chercheur Tajie Harris, du département de neurosciences de l'Université de Virginie, a déclaré :
La microglie doit mourir pour sauver le cerveau de cette infection. Sinon, l'IL-1a reste coincée à l'intérieur de la microglie et elle ne pourrait pas alerter le système immunitaire que quelque chose ne va pas.
En mourant, la microglie recrute des cellules immunitaires macrophages pour contrôler l'infection à Toxoplasma gondii.
Pourquoi cette découverte est importante ?
La découverte effectuée par l'équipe de chercheurs est particulièrement importante, puisque pendant des décennies, nous pensions que le cerveau était en quelque sorte déconnecté du système immunitaire. Nous savons à présent que cela est faux. De nombreux scientifiques sont donc, en ce moment-même, en train d'explorer les implications de cette découverte majeure.
Cette découverte permet aussi de comprendre et d'expliquer pourquoi la plupart des personnes n'ont aucun mal à contrôler le parasite, alors que d'autres personnes (et notamment les personnes immunodéprimées), peuvent devenir très malades à cause de ce parasite. Samantha Batista, l'une des scientifiques en charge de cette découverte, a déclaré :
Comprendre des voies comme celle-ci pourrait être bénéfique pour d'autres maladies impliquant la neuroinflammation.
Il reste désormais à comprendre comment la microglie parvient à détecter, très exactement, les parasites présents dans le cerveau. Les scientifiques sont pour le moment indécis : la microglie reconnaît-elle la présence du parasite, ou bien les dommages causés au sein des tissus cérébraux ? Il faudra encore un peu de temps pour que les équipes de scientifiques, qui travaillent d'arrache-pied sur ce type de questions, parviennent à obtenir des résultats probants. La question nous intéresse en tout cas énormément, et il nous tarde d'en savoir davantage, à l'avenir, sur le fonctionnement des microglies.



Réponse : 0 / Vues : 2 191
Pages: 1