Vous n'êtes pas identifié.
Pages: 1
Réponse : 0 / Vues : 1 893
Nous sommes nombreux à nous demander ce qui pouvait bien pouvoir se passer une fois que la mort arrive. Y-a-t-il ce fameux tunnel et la lumière blanche autour ? Survolons-nous notre enveloppe quelques instants avant de définitivement disparaître ? Comment réagissent nos cellules ? Sur ce dernier point, une équipe de scientifiques peut apporter une partie de réponse en ce qui concerne nos cellules nerveuses. D'après une récente étude, certaines cellules de notre cerveau ne s'éteignent pas. Au contraire : elles deviennent très actives.
Des gènes "zombies" qui apparaissent post-mortem.
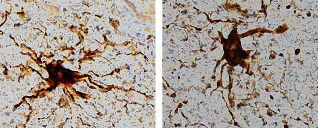
C'est en tout cas ce que viennent de révéler des chercheurs de l'Université Illinois Chicago dans une étude publiée dans la revue Scientific Reports. Leur travail consistait à en savoir plus sur l'activité des gènes des cellules du cerveau humain une fois un individu décédé. On parle ici d'expression génique. Et il s'avère que des gènes "zombies" devenaient particulièrement actifs post-mortem !
On vous rassure tout de suite, il ne s'agit pas du début d'un scénario de film post-apocalyptique mais d'un phénomène tout à fait normal.
Pour parvenir à ce constat, l'équipe a prélevé des tissus cérébraux lors d'interventions chirurgicales et ont simulé les conditions d'un décès. Grâce à leurs observations, ils ont pu remarquer que les gènes qui s'activent dans un état post-mortem se trouvent dans des cellules gliales dont les appendices se développent encore après la mort. De précédentes études qui se consacraient à l'activité des cellules post-mortem estimaient que toute l'activité cérébrale se stoppait une fois le cœur à l'arrêt. Il n'en est rien donc. Mais pour les chercheurs qui viennent de publier cette étude, le fait que ces cellules gliales continuent à croitre n'est pas étonnant puisqu'elles ont pour fonction de "maîtriser les dégâts après une attaque cérébrale par exemple" explique Jeffrey Loeb, l'un des co-auteur de l'étude.
Une découverte majeure qui pourrait aider la recherche.
Les scientifiques ont ensuite tenté de quantifier cette activité génique post-mortem. Pour cela, ils ont de nouveau travaillé sur des tissus cérébraux laissés à température ambiante en simulant les conditions d'un décès. Pendant 24 heures, ils ont analysé l'activité des gènes des cellules à intervalles réguliers.
Résultat : les gènes qui se trouvent dans les neurones et qui assurent la mémoire ou le raisonnement subissent une dégradation très rapide en quelques heures seulement après le décès. D'autres gènes à hauteur de 80% sont restés stables pendant la durée de l'analyse. Ce sont des gènes domestiques qui veillent à la survie des cellules. Et pour finir, les chercheurs ont identifié les "gènes zombies" comme ils les ont surnommé, et qui voient leur activité accroître.
Grâce à cette découverte, les auteurs de l'étude espère que les futures recherches tiendront compte de cette activité post-mortem des cellules et permettront de trouver des traitements pour certaines maladies qui ne tenaient pas compte de ce critère.



Réponse : 0 / Vues : 1 893
Pages: 1